
Il Centro di Radiologia Muglia - Rago - Scaletta è dotato di un'apparecchiatura di ultima generazione, il Dentascan Cone Beam 3D, con cui vengono eseguiti:
- ortopantomografie digitali dirette OPT - panoramica dentale;
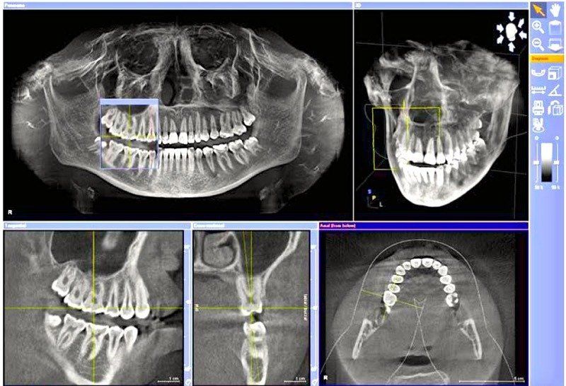
- esami in 3D delle arcate dentarie;
- studi pre e post implantari;
- studi delle articolazioni temporo-mandibolari e dei seni paranasali.
I risultati delle indagini sono disponibili sia su pellicola ad alta definizione sia su supporto digitale (DVD) con programma integrato.
L’esame consente al dentista una visualizzazione anatomica totale delle arcate dentarie e delle strutture del distretto maxillo-facciale nei vari piani ortogonali.
Il Dentascan Cone Beam 3D sottopone il paziente a basse dosi di radiazioni, inferiori rispetto alla tac convenzionale: ciò è importante nel caso di ripetuti controlli e in pediatria, dove si applicano specifici programmi che riducono ulteriormente la dose di radiazioni.








