
Nel Centro di Radiologia Muglia - Rago - Scaletta si eseguono tutti gli esami di routine dello scheletro, degli organi toraco-addominiali e gli esami contrastografici per lo studio della patologia intestinale ed in particolare la videofluorografia delle vie digestive superiori. La struttura si avvale di apparecchiature moderne e all’avanguardia, che ne fanno un innovativo centro di radiologia digitale a Bagheria e nei comuni limitrofi.
Immagini diagnostiche su supporto digitale
Il centro di radiologia è dotato di un sistema wireless per l'invio immediato delle immagini radiografiche ad un computer, mantenendo una qualità elevata ed evitando superflue esposizioni dei pazienti ai raggi X.
Tutte le immagini acquisite, trattate con un sofisticato post processing, vengono registrate su un supporto digitale (DVD).
INDAGINI
radiografiche particolari
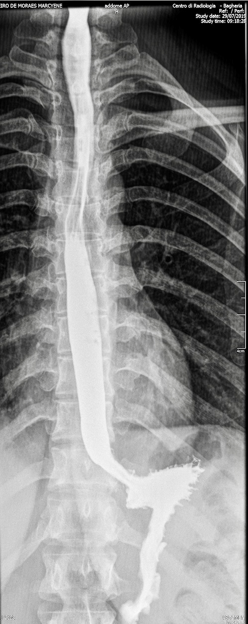
Vengono eseguiti esami radiografici digitali diretti e contrastografici dell’addome per lo studio delle patologie intestinali con la presenza del medico radiologo. È possibile prenotare:
- radiografie all’esofago, stomaco e duodeno;
- video-fluoro-grafia dell’esofago;
- radiografie all’apparato digerente.
Il personale medico è altamente specializzato anche per l’esecuzione degli esami pediatrici con l’uso, ai fini diagnostici, della dose minima di radiazioni ionizzanti.










